


As the calendar turns and resolutions take root, there’s no better time to invest in yourself, especially your smile. If you've been hiding your teeth in photos, feeling self-conscious during conversations, or simply wishing for a brighter, more polished look, porcelain veneers could be the life-changing solution you’ve been searching for.
At Kenmore Family Dental Care in Alexandria, VA, Dr. Heejo Han and his team take the time to understand your concerns and goals, offering a personalized and supportive experience every step of the way.
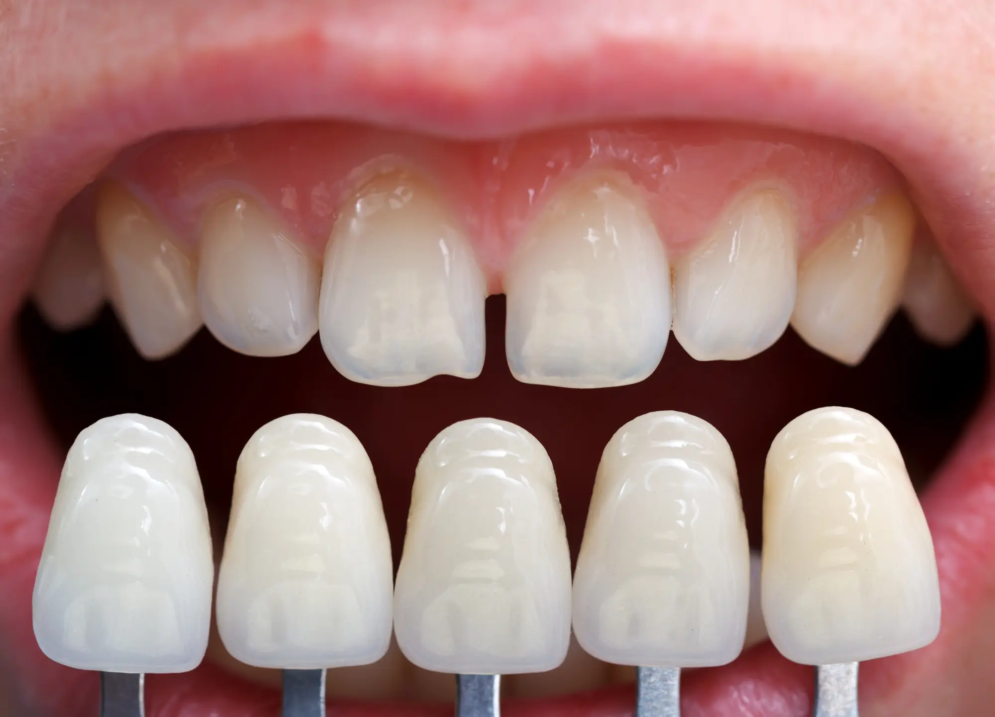
Porcelain veneers are ultra-thin, custom-crafted shells that bond directly to the front of your natural teeth. Designed to mimic the translucent look of real enamel, veneers can dramatically enhance your smile with results that look beautifully natural.
They're a cosmetic dental solution, but the confidence that veneers inspire goes far beyond aesthetics. Porcelain veneers may be recommended for patients who want to improve the appearance of:
Dr. Han tailors every veneer treatment plan to the individual, carefully designing each set for a natural, harmonious result that reflects your personality and smile goals.
There’s a reason why so many patients refer to veneers as a “smile makeover.” In just a few appointments, this treatment can completely transform how you feel about your appearance. Here's what makes veneers an ideal choice for a confident new beginning:
If you’ve made a resolution to show up more confidently, start by investing in a treatment that lets you smile without hesitation. Dr. Han combines technical precision with a compassionate, calming approach, helping patients feel completely at ease, from first consultation to final reveal.
When you begin your smile transformation at Kenmore Family Dental Care, you're welcomed into an environment where your comfort comes first. Dr. Han and his experienced team take time to explain your options.
They will answer every question with honesty, and ensure you feel empowered to choose the treatment that’s right for you. Wondering what to expect? The porcelain veneer process typically involves:
This carefully orchestrated process minimizes discomfort while maximizing impact, delivering a smile that looks and feels like you’ve always wanted it to.
Transforming your smile doesn’t have to be financially stressful. At Kenmore Family Dental Care, we believe everyone deserves access to exceptional cosmetic dentistry. That’s why we offer transparent pricing, limited-time specials, and exclusive savings through programs like the Kenmore Elite Club, making your dream smile more attainable than ever.
But what truly sets us apart is how we care for our patients. Dr. Han’s gentle touch, thoughtful communication, and genuine empathy have earned heartfelt testimonials and built lasting trust in the local community. Whether it’s your first time exploring cosmetic dentistry or you’re ready to take the next step, you’ll be met with warmth, clarity, and unwavering support.
There’s no better moment than the start of a new year to finally prioritize yourself and your smile. Let Kenmore Family Dental Care guide you through a transformative porcelain veneer experience that’s as comfortable as it is rewarding. Call (571) 222-5072 today to schedule your personalized consultation with Dr. Heejo Han in Alexandria, VA, and take the first step toward a smile you’ll love sharing all year long.